Đối với nhiều người các vấn đề về bệnh răng miệng chưa bao giờ thật sự là mối quan tâm của họ nhưng thực tế. Hàm răng đẹp trước hết là một hàm răng khỏe. Chắc chắn. Chẳng có ai lại khen bạn có nụ cười “tỏa nắng” khi mà hàng tiền đạo lung lay, đen xỉn và ố vàng.
Hãy đọc bài viết này nếu như bạn muốn “chỉ mặt gọi tên” các bệnh răng miệng thường gặp. Từ đó, phân tích xem tác hại của nó đến mức nào. Cuối cùng, với mỗi loại bệnh về răng miệng, nha khoa quốc tế Việt Đức xin đưa ra những giải pháp để khắc phục, cách phòng tránh tốt nhất cho bạn.
Các bệnh răng miệng thường mắc phải
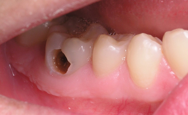
Sâu răng
– Sâu răng là tổn thương do mất tổ chức cứng của răng, thức ăn dính vào răng, tạo mảng bám, tích tụ vi khuẩn gây sâu răng. Sâu răng dễ nhận biết qua sự thay đổi màu sắc (có vết chấm đen li ti, hoặc vệt đen), tạo lỗ hổng trên răng. Sâu răng nặng sẽ có cảm giác đau, ê buốt, thậm chí có thể gây viêm tủy.
– Phương pháp dự phòng: Trám răng thẩm mỹ, chải răng đúng cách, dùng chỉ nha khoa và nước súc miệng.
– Điều trị: Trám răng giúp ngăn chặn vi khuẩn lây lan sang các răng còn lại.

Viêm nướu
– Là dạng nhẹ của viêm nha chu, mảng bám và cao răng là nguyên nhân gây kích ứng, sưng, chảy máu, nướu đỏ, hơi thở hôi… Nếu tình trạng này tiếp tục kéo dài dẫn đến viêm nha chu gây tổn thương cho răng, có thể dẫn đến tụt lợi.
– Vệ sinh răng miệng đúng cách và lấy cao răng định kì sẽ giúp ngăn chặn những biến chứng, hậu quả do bệnh viêm nướu mang lại.
Viêm quanh răng
Viêm quanh răng hay nha chu được coi là “thảm họa thứ 3 của loài người”, chỉ sau bệnh tim mạch và ung thư. Bệnh gây tổn thương nướu và các tổ chức xung quanh răng (dây chằng, xương răng), dần dần gây lung lay và rụng răng.
Nguyên nhân: viêm quanh răng có thể do nhiều nguyên nhân như: thiếu vitamin C, sức đề kháng yếu, thay đổi nội tiết tố khi dậy thì hoặc mang bầu… Vôi răng và răng mọc lệch cũng tạo điều kiện lý tưởng cho vi khuẩn tích tụ, gây viêm quanh răng.
Triệu chứng: triệu chứng ban đầu của viêm quanh răng có thể chỉ là hôi miệng, nướu sưng đỏ và chảy máu khi đánh răng. Dần dần, răng sẽ bị lung lay và tụt khỏi lợi, tạo thành vị trí đặc địa cho vi khuẩn tấn công, gây tiêu xương ổ răng và cuối cùng là rụng răng.
Răng khôn gây biến chứng
– Răng mọc muộn nhất, và khi không đủ hàm thường mọc lệch, ngầm gây ra các biến chứng như: viêm quanh răng, gây sâu răng số 7, tiêu xương, làm răng phía trước xô lệch. Đặc biệt, ở phụ nữ mang thai thường có sức đề kháng yếu, răng lợi trùm dễ sưng đau, và việc xử lý khó khăn hơn nên cần được phát hiện sớm để nhổ răng.
– Cách khắc phục: Khám nha khoa định kì để nha sĩ phát hiện răng khôn và nhổ răng.
Răng ngả màu
– Màu sắc răng biến đổi so với bình thường.
– Nguyên nhân khiến răng chuyển màu: nhiễm màu nội sinh (dùng thuốc kháng sinh, bệnh bilirubin máu cao bẩm sinh – răng sữa màu xanh, nhiễm màu Porphyrin – răng màu nâu đỏ), nhiễm màu ngoại sinh (thức ăn, nước uống có màu, vi khuẩn sinh màu, vết trám răng…), nhiễm Fluo, mòn răng…
– Điều trị: Lấy cao răng, loại bỏ mảng bám, tẩy trắng răng (đối với trường hợp nhẹ), còn những trường hợp nặng nên phục hình răng sứ thẩm mỹ với dán veneer sứ hay bọc răng sứ thẩm mỹ.

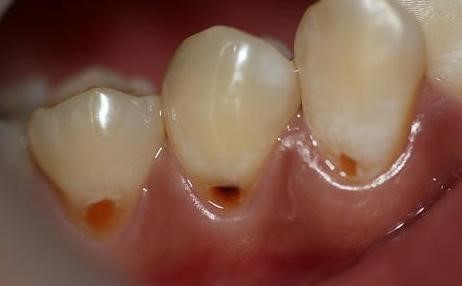
Cao răng (Vôi răng)
– Là mảng bám đã cứng lại trên răng. Vôi răng có thể được tạo thành ở ngay hoặc dưới đường viền nướu, có thể gây kích ứng mô nướu. Vôi răng có thể dẫn đến tình trạng sâu răng và các bệnh về nướu.
– Dự phòng và điều trị: Đến phòng khám nha khoa lấy cao răng định kì.
Mòn răng
Có lẽ khi nhắc đến cụm từ này, ai cũng có đôi chút hình dung về việc răng bị mòn do nhai quá nhiều hay do ăn nhiều thức ăn có chứa axit. Định nghĩa chính xác về bệnh này cũng tương tự như vậy. Mòn răng là việc các tổ chức cứng của răng như men răng bị ăn mòn bởi các chất có tính oxi hóa mạnh như axit. Những bệnh nhân ăn nhiều chua, uống thuốc có chứa axit hay làm việc trong môi trường có nồng độ axit cao, răng đều có thể bị ăn mòn.
Đặc biệt, ở các cơ sở, xưởng sản xuất axit, nồng độ axit trong không khí thường ở mức cao hơn bình thường. Khi không khí ngấm vào nước bọt dẫn đến việc răng công nhân bị ăn mòn rất nhiefu. Ngoài ra, hơi axit kích thích các niêm mạc mũi gây khó chịu nên những người làm việc ở đây thường thở bằng miệng. Điều này dẫn đến hệ quả là răng tiếp xúc với axit nhiều hơn. Biểu hiện thường thấy của bệnh mòn răng chính là việc men răng bị phá hủy hay gây tổi hai. Màu của men răng bị biến đổi sang màu vàng sậm hoặc màu nâu, men răng không còn bóng và thô ráp hơn. Vì men răng mất dần nên khi ăn đồ nóng, lạnh hay ngọt răng thườn bị tê buốt, đau. Rìa răng ở chỗ răng bị mòn (thường là răng cửa hay răng nanh) không đều, ngà rưng cũng có màu nâu, mềm và bị mòn. Thậm chí nặng hơn, axit có thể làm mòn cả lợi.
Mặc dù tác động và gây hư hại bên ngoài nhưng mòn răng không làm ảnh hưởng đến tủy do được bảo vệ bởi một lớp ngà thứ phát. Khi răng bị cụt do axit ăn mòn, ổ răng có thể bị ảnh hưởng gây viêm lợi hay viêm quanh răng. Chính vì những ảnh hưởng tiêu cực này, công nhân hay những người làm việc trong môi trường có nồng độ axit cao cần chú ý giữ gìn răng bằng các súc miệng bằng dung dịch kiềm (nabica 3%) để trung hòa một phần axit trong miệng và trong các kẽ chân răng.
Không chỉ công nhân, những người bệnh thường xuyên phải uống thuốc có nồng độ axit cao cũng dễ mắc bệnh trên. Đặc biệt là những người phải uống thuốc liên tục trong thời gian dài (lớn hơn 3 tháng). Với người bình thường, vấn đề này cũng ít nghiêm trọng hơn, tuy nhiên, bạn cần tránh ăn đồ chua quá nhiều như bưởi chua, cam, chanh, thức ăn cứng…
Tiêu thân răng
Biểu hiện của bệnh là chỉ là một rãnh nhỏ gần cổ răng khi mới bắt đầu bị bệnh. Tuy nhiêu, nếu chỗ tiêu thân răng lớn hơn, chúng có thể gây cảm giác ê nhức và đau buốt. Tiêu răng có thể bắt gặp ở cả hàm trên và hàm dưới. Chúng làm buồng tủy dần dần hẹp lại, thân răng có thể bị gãy nếu trường hợp quá nghiêm trọng.
Nếu bạn gặp vấn đề này, nên chú ý đánh răng bằng bàn chải mềm để hạn chế gây thêm tổn thương cho răng và có thể đi hàn chỗ thân răng đang có nguy cơ bị tiêu.
Viêm khớp thái dương
Bệnh lý thường gặp ở những người răng hô, răng khấp khểnh, móm… Gây các cơn đau đầu, đau gáy, đau cơ hàm, đặc biệt là khi về già.
Các triệu chứng
Bạn nên đi khám ngay nếu có các triệu chứng dưới đây:
– Mỏi hàm, đau, khó chịu khi ăn nhai
– Đau vùng trước tai, đau trong tai
– Không thể há miệng to, há miệng lệch, khi há miệng có tiếng kêu khớp
– Sưng một bên mặt
– Thường xuyên đau đầu, đau cạnh hàm dưới…
– Căng cơ phần hàm, mặt
Giống như các bệnh khớp khác, viêm khớp thái dương hàm cần được điều trị sớm và dứt điểm, nếu không sẽ chuyển thành bệnh mãn tính.

Nguyên nhân bệnh răng miệng viêm khớp thái dương
Bệnh lý khớp thái dương hàm có thể do rất nhiều nguyên nhân, trong đó nguyên chủ yếu nhất là sai khớp cắn:
– Sai khớp cắn: các răng mọc khấp khểnh, răng vổ hoặc móm khiến khớp cắn bị sai lệch so với khớp cắn tự nhiên. Ví dụ, trường hợp răng móm khiến khớp cắn bị lệch vào trong, lực nhai của hàm yếu hơn, lâu ngày dẫn đến viêm khớp thái dương hàm đồng thời làm cho răng yếu hơn, nhanh rụng.
Trường hợp răng khôn mọc lệch, đẩy các răng khác xô lệch theo cũng có thể gây viêm khớp thái dương hàm.
– Chấn thương do va đập: các va đập quá mạnh (bị ngã, bị đánh) cũng có thể làm lệch khớp thái dương hàm.
– Nghiến răng: tật nghiến răng khi ngủ khiến các răng ma sát rất mạnh, có thể làm sai khớp cắn, đồng thời gây mòn mặt nhai của răng.
– Nhai kẹo cao su quá nhiều: một nguyên nhân hy hữu, nhưng không phải là không có. Những người có thói quen nhai kẹo cao su liên tục, đầu tiên sẽ bị mỏi hàm, nếu không phát hiện ra rất có thể sẽ dẫn đến viêm khớp thái dương hàm.

Viêm khớp thái dương cần được chụp phim và thăm khám cẩn thận trước khi tiến hành điều trị. Đa số các trường hợp bệnh do sai khớp cắn sẽ được chỉ thị niềng răng hoặc bọc răng sứ để các răng vào đúng vị trí, chỉnh lại khớp cắn là khỏi bệnh. Nếu là đau do răng khôn mọc lệch thì chỉ cần nhổ chiếc răng đó đi.
Một số trường hợp ít hơn do chấn thương, tật nghiến răng… sẽ cần nắn khớp, đeo khí cụ chỉnh nha để điều chỉnh, cố định khớp cắn chuẩn.
Bệnh răng miệng thường xảy ra khi mang thai
Thai phụ thường rất dễ bị sâu răng do thay đổi hormone trong cơ thể, cụ thể là:
– Trong thời gian mang thai, cơ thể người mẹ tiết ra rất nhiều nội tiết tố nữ Estrogen và Progesterone, làm nướu rất dễ bị sưng, tạo điều kiện cho vi khuẩn tấn công, gây viêm lợi, nha chu.
– Khi thai nhi lớn lên, dạ con sẽ to ra, làm diện tích dạ dày thu hẹp lại, khiến thai phụ chóng no và chóng đói hơn, cũng là nguyên nhân khiến họ ăn vặt đồ ngọt nhiều hơn, gây nguy cơ sâu răng cao.
– Trong 3 tháng đầu, thai phụ thường xuyên nôn nghén. Hiện tượng này làm thay đổi lượng pH trong miệng, tăng tính acid, khiến men răng nhanh mòn hơn, ngà răng dễ bị vi khuẩn tấn công, gây sâu răng.
– Trong thai kì, cơ thể người mẹ thường xuyên phải bổ sung Canxi (để hình thành hệ thống xương cho bé). Nếu không bổ sung đủ, cơ thể mẹ sẽ thiếu hụt Canxi trầm trọng, ảnh hưởng đến hệ xương và răng.

Những tác hại gây ra của bệnh răng miệng
Tụt chân răng

Nha chu là một trong số những bênh răng miệng phổ biến nhất hiện nay. Đây là bệnh liên quan đến hoạt động của các tổ chức xung quanh răng. Nguyên nhân chính dẫn đến bệnh nha chu là do việc vệ sinh răng miệng không sạch sẽ khiến vi khuẩn tích tụ tạo nên các mảng bám xung quanh rang lâu dần tạo thành bệnh lí khiến cho nướu bị chảy máu, hôi miệng, răng lung lay…
Nếu không được điều trị kịp thời các mô nướu sẽ bị tổn thương nặng nề khiến tụt chân răng
Bệnh tim mạch
Khi bạn mắc các bệnh về nướu, nguy cơ đối với các bệnh về tim mạch và huyết áp của bạn cũng tăng cao. Tại sao bệnh răng nướu lại dẫn đến các bệnh tim mạch?
Theo nghiên cứu của các trường đại học Y của Mỹ, khi nướu răng của bạn bị viêm, nhẹ thì nướu răng chỉ bị sưng đỏ, hay chảy máu khi đánh răng, hôi miệng. nặng hơn thì chân răng bị nhiễm độc ăn vào xương và răng phải nhổ thì các tảng vôi (plaques) đóng vào chân răng rồi làm cho các vi khuẩn sinh sản gây nhiễm độc, tiết ra những độc chất toxins làm cho các thành mạch máu (arterial walls) của các động mạch bị xơ cứng rồi dẫn đến những chứng bệnh tim mạch hay tai biến mạch máu não
Suy giảm trí nhớ và chứng Alzheimer
Các nghiên cứu trên các tình nguyện viên ở Anh và Mỹ, đối với những người mắc bệnh răng miệng, khuẩn P.gingivalis sẽ dễ dàng có cơ hội thâm nhập vào dòng máu và đi thẳng lên não, nhất là sau khi răng rụng. Tất cả những căn bệnh liên quan đến răng lợi góp phần làm cho khuẩn thâm nhập vào dòng máu nhanh hơn. Trong khi đó Khuẩn P.gingivalis là một trong số nguyên nhân chính gây bệnh Alzheimer – một trong những chứng mất trí nhớ phổ biến nhất.
Bệnh tiểu đường
93% người mắc bệnh răng miệng có nguy cơ cao phải đối mặt với bệnh tiểu đường. Các kích thích bên trong miệng thường là một trong những tác nhân làm suy giảm lường đường trong máu điều đó khiến cho cơ thể khó chuyển hóa đường thành năng lượng do thiếu hụt một lượng insulin nhất định. Và đây chính là nguyên nhân chính gây ra bệnh tiểu đường
Ung thư
Các nghiên cứu mới nhất đã cho thấy mối tương tác giữa sức khỏe răng miệng kém và một số loại ung thư, bao gồm ung thư phổi, ung thu não,.. Nghiên cứu mới đây của Đại học Harvard đã chỉ ra rằng những người mắc bệnh răng miệng có khả năng mắc ung thu tụy cao gấp 62% so với bình thườn Nguy cơ phát triển các loại bệnh ung thư là do các ổ tế bào và vi khuẩn phát triển tập trung cao quá mức cho phép do thói quen nghèo đánh răng, sâu răng và bệnh nha chu
Béo phì
Nếu đã bị bệnh về nướu, bạn sẽ phải đối mặt với nguy cơ lượng mỡ thừa trong cơ thể tăng tích tụ và tăng cao hơn rất nhiều.
Đối với sức khỏe sinh sản
Các nghiên cứu y học hiện đại đã chỉ ra rằng chỉ có 1 trên 7 phụ nữ mắc các bệnh răng miệng có cơ hội sinh con khỏe mạnh như những người phụ nữ khỏe mạnh bình thường. Và những người này cũng phải đối mặt với những biến chứng khi mang thai như: sinh non, sinh con nhẹ cân, thai nhi mắc các bệnh bẩm sinh…cao gấp đôi bình thường. Nguyên nhân chính là do những vi khuẩn trong răng tích tụ tạo ra các hợp chất tác động tiêu cực đến sức khỏe thai nhi. Vì vậy việc chăm sóc răng miệng là hoàn toàn cần thiết đối với sức khỏe.
Cách khắc phục bệnh răng miệng cực hiệu quả
Đã nói đến bệnh lý thì gần như cách khắc phục hiệu quả và hiện đại nhất đó là phải đi khám bác sĩ. Đối với bệnh răng miệng cũng vậy, khi phát hiện ra các dấu hiệu bất thường, hãy chủ động. Ở phía trên nha khoa quốc tế Việt Đức có chỉ ra 1 số triệu chứng của từng bệnh răng miệng thường gặp. Bạn hãy dựa vào những dấu hiệu đó để “tự chẩn đoán” và có kế hoạch tới phòng khám sớm.
Đối với các bệnh nhân tới khám tại nha khoa quốc tế Việt Đức, chúng tôi để tư vấn các gói dịch vụ phù hợp nhất với tình trạng bệnh lý răng miệng. Tốt nhất, nếu có điều kiện, hãy đăng ký khám răng miệng định kỳ để đảm bảo sức khỏe răng miệng luôn ổn định.
Ngoài ra, nếu bạn muốn biết chế độ ăn uống để giữ răng chắc khỏe, tham khảo tại đây





